Цены
Процедура противопоказана в период ОРВИ, а также беременным женщинам.
* Условия акций указаны в разделе «Акции».
** Цены и акции, размещённые на сайте не являются публичной офертой. Цены и услуги предоставляются в соответствии с размещенным на сайте прейскурантом платных медицинских услуг.
*** Цены на услуги стоматолога указаны с учётом максимальной скидки и оплаты в течение 2-х дней с момента прохождения первичной консультации.
Методы установки виниров
В стоматологической клинике «Все свои!» практикуется два способа установки виниров зубов – прямой и непрямой.
Прямое винирование или, как его еще называют, связочное заключает в себе процедуру крепления композитных смол на внешней стороне зубной эмали с помощью стоматологического клея или цемента, при этом не нужна предварительная обточка. Процедура длится около часа и не требует повторного посещения стоматолога.
Непрямой виниринг сочетает в себе три действия: снятие слепков, изготовление пластин в лаборатории, крепление материала на зубы. Для такой процедуры необходимо двухразовое посещение стоматолога, поскольку обработка зубной эмали производится более тщательно и на изготовление пластин требуется определенный промежуток времени.
Преимущества виниров
- Естественно выглядят за счет флюоресцирующей поверхности и возможности придать материалу любой оттенок.
- Препятствуют развитию кариеса благодаря гладкой поверхности, на которой меньше скапливается налет.
- Не вызывают аллергии и отторжения.
- Не подвергаются воздействию пищевых красителей.
- Служат 10-20 лет в зависимости от материала.
Как проходит установка виниров на зубы
- Бесплатно проконсультируйтесь с врачом для оценки состояния зубной эмали и мягких тканей.
- Стоматолог очищает эмаль от кариеса и отложений.
- Во время второго визита врач обтачивает зубы и снимает слепок, который отправляет в лабораторию. Изготовление занимает до 7 дней. На этот срок устанавливается временная пластина.
- Во время третьего визита керамические пластины крепятся на внешнюю сторону зубов с помощью стоматологического цемента.

Как носят виниры
Керамические накладки на зубы служат в среднем 10-15 лет, композитные – 5-10. Они не требуют специального ухода. Однако, чтобы сохранить их первоначальный цвет и блеск надолго, мы советуем отказаться от частого употребления красящих продуктов, а также курения. Обязательно выполняйте профессиональную чистку зубов 1-2 раза в год.
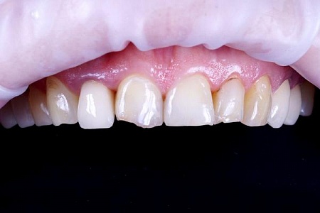
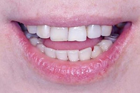
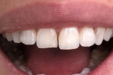
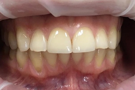
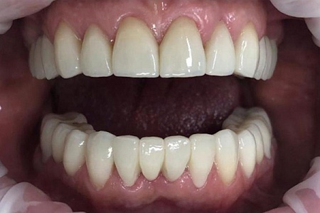
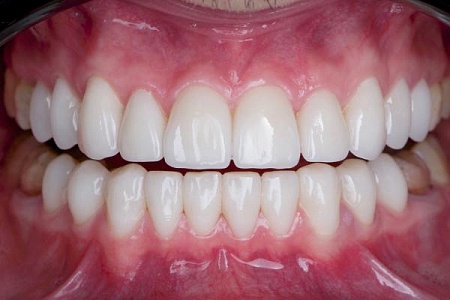
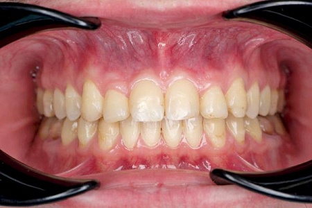
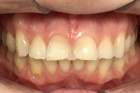
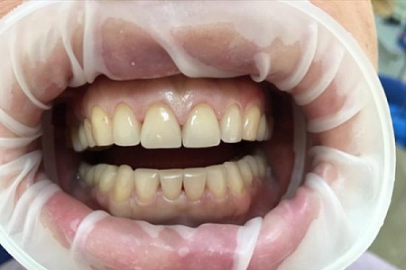
Работы наших врачей

Почему виниры того стоят?
Накладки позволяют в сжатые сроки сделать зубы и белыми, и ровными на долгое время. Через 2-3 дня после установки они перестают ощущаться, в то время как ношение брекетов является длительным и болезненным процессом. Эффект отбеливания сохраняется 2-3 года, E-max же сохраняют белизну до 5 раз дольше.
Установка виниров в клинике «Все свои!»


